Service Telefon: 035600 6962

03159 Döbern

Montag - Freitag: 09:00-18:00Uhr

Hüftgelenksgelenksdysplasie

Hüftgelenksdysplasie

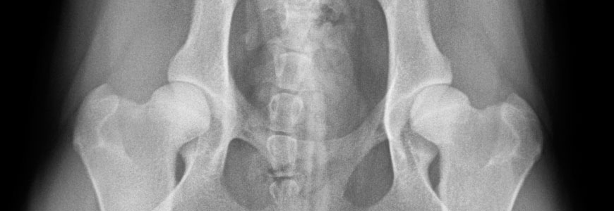
HHD Aufnahme Hund gebeugt
Die Hüftgelenksdysplasie (HD) des Hundes stellt mit die häufigste Krankheit des Bewegungsapparates dar, die mittelgroße bis große Hunde befällt.
Hüftgelenksdysplasie entwickelt sich in den ersten 15 Lebensmonaten eines Hundes.
HD tritt in der Regel beidseitig auf, und kann unterschiedlich stark ausgeprägt sein.Viele Hunde zeigen trotz HD erstaunlich geringe bis keine Beschwerden.


Bei der HD liegt eine Dysplasie vor - eine Fehlbildung also - dabei passen Kopf und Pfanne nicht richtig zueinander. Es kann sein, daß die Pfanne zu flach ausgebildet ist und infolgedessen der Kopf aus der Pfanne herausrutscht und an deren Enden scheuert.
Oft aber ist die Pfanne normal ausgebildet, jedoch der Kopf zeigt eine Mißbildung und scheuert in der normal geformten Pfanne. 
Der Körper versucht eine "Reparatur" durch zusätzliche Knorpelbildung und später dann Knochenbildung. Dieser Vorgang ist als Arthrose bekannt. 


Hunde werden mit normalen Hüftgelenken geboren und entwickeln im Alter von ca. 2 Monaten radiologisch nachweisbare Anzeichen einer „lockeren Hüfte“ . Eine Gelenkserkrankung entsteht meist im Alter zwischen 4–6 Monaten, oftmals auch erst später. Weiterhin verläuft der Schweregrad der HD linear zum Alter des Hundes. Obwohl HD sehr häufig vorkommt , zeigen die meisten betroffenen, insbesondere diejenigen mit milderen Formen der Hüftgelenksarthrose, wenn überhaupt, erst im hohen Lebensalter Lahmheitssymptome. 

Eine beginnende HD äußert sich in zunehmenden Schmerzen bei Spaziergängen, der Hund will nicht mehr weit laufen, setzt sich öfter hin, schreit beim Spielen ab und zu auf und zeigt einen instabilen Gang. Beim Vorführen der Hintergliedmaße wird das Becken in Richtung der vorgeführten Gliedmaße seitwärts bewegt . Bei Bewegungen des Gelenkes kann ein hörbares Knacken, Klicken oder Knirschen des Gelenks auftreten.Vermutete Mißbildungen, die nicht so gravierend sind, daß sie direkt auffallen, kann man durch eine Röntgenaufnahme eindeutig feststellen. Diese muß unter einer Kurzzeitnarkose erfolge

PRAKTISCHE HINWEISE

Die offizielle Röntgenuntersuchung auf HD (HD/ED) erfolgt in der Regel ab dem Alter von 12 Monaten. Bitte beachten Sie jedoch ggf. die Bestimmungen Ihres Zuchtverbandes. 
 
Da Ihr Hund für die Untersuchung eine Narkose bekommt, muss er nüchtern sein, d.h. die letzte Fütterung sollte spätestens am Abend zuvor erfolgen. Trinken darf er bis zum Morgen der Untersuchung. 
 
Für die offizielle HD/ED-Untersuchung muss die Ahnentafel im Original vorliegen. Bitte bringen Sie diese mit, sonst kann die Untersuchung nicht durchgeführt werden.
 
Die Zuchtverbände haben spezielle Antragsformulare für die offiziellen HD/ED-Untersuchungen. Bitte bringen Sie diese Formulare unbedingt ebenfalls zur Untersuchung mit.

Die Röntgenaufnahmen werden von uns per Post oder online an die jeweilige zentrale Auswertungsstelle geschickt. Die Beurteilung erfolgt in der Regel dort und kann bis zu einigen Wochen dauern

Haben Sie Fragen? Kontaktieren Sie uns: (035600)6962